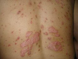
女性牛皮癣病因!相信很多人都知道牛皮癣这种皮肤病,该病是难以根治的皮肤疾病,严重影响了患者的工作,对于爱美的女性来说,牛皮癣的发生无疑给她们的生活带来毁灭性的打击。女性牛皮癣的病因比较复杂,了解病因,对于牛皮癣的治疗有一定的辅助作用。那么,女性牛皮癣有哪些病因呢?下面,成都牛皮癣医院专家为您详细介绍这个问题。

女性银屑病有哪些病因:
1、免疫功能下降,对于女性患者,免疫能力比较弱,女性朋友容易受病毒的侵害,容易感冒和免疫力低下。医学研究证明,牛皮癣病人体液免疫混乱,病人血中T抑制细胞明显下降,引发牛皮癣皮损发生。
2、精神因素,一般女性的精神波动比男性的精神波动大,促发体内的内分泌混乱,损伤身体的免疫防御系统和酶的代谢混乱,进而促成了牛皮癣的发生。
3、内分泌混乱,临床证明,女性比较容易患上牛皮癣,主要是女性患者体内的内分泌比较容易紊乱,多数病人月经期及怀胎期恢复,皮损恢复多发生在有身孕后的3-6个月以内,而分娩后大多数病人病症一直加重,这可能与怀胎期皮质类固醇激素分泌增多有关。
女性牛皮癣有哪些病因的问题,成都牛皮癣专科医院专家已经为您详细介绍,希望患者看后会有所帮助。牛皮癣属于慢性疾病,该病的治疗疗效缓慢,希望患者在治疗过程中,保持信心和耐心,坚持治疗,相信牛皮癣是可以临床治愈的。


